San Diego - Alors qu'une grande partie des efforts d'amélioration de la qualité de l'endoscopie au cours de la dernière décennie s'est concentrée sur la coloscopie, il serait peut-être temps de se tourner vers l'endoscopie supérieure - en particulier, en minimisant le taux de néoplasie de Barrett post-endoscopie.
"Tout comme les lésions du côlon peuvent être manquées après une coloscopie, la néoplasie de Barrett peut être manquée après une endoscopie haute. Nous savons que ces cancers et ces néoplasies sont manqués lors de l'endoscopie d'index", a déclaré Prateek Sharma, MD.Nouvelles de gastro-entérologie et d'endoscopie.
Au cours du cours de troisième cycle de l'American Society for Gastrointestinal Endoscopy (ASGE) à la Semaine des maladies digestives 2022, le Dr Sharma, professeur de médecine à la faculté de médecine de l'Université du Kansas, à Kansas City, a décrit la néoplasie de Barrett post-endoscopie (PEBN), pourquoi c'est important, et les mesures que les endoscopistes peuvent prendre pour augmenter leur capacité à détecter ces lésions souvent subtiles.
"Lorsque les patients sont référés à un centre tertiaire après qu'une biopsie aléatoire montre une néoplasie de haut grade ou un cancer, 75 % ou plus du temps, l'endoscopiste du centre tertiaire voit une lésion que le premier endoscopiste n'a pas détectée", a déclaré Nicholas J. Shaheen, MD, chef de la division de gastroentérologie et d'hépatologie de l'Université de Caroline du Nord à la faculté de médecine de Chapel Hill. "Cela est en partie dû au fait que l'endoscopiste du centre tertiaire a un avantage - savoir que quelque chose a été trouvé sur une biopsie apparemment aléatoire. Mais une partie de cela, sans aucun doute, est que la lésion était toujours là et n'a tout simplement pas été reconnue", a déclaré le Dr Shaheen.Gastroentérologie & Endoscopie Actualités. "Donc, nous savons que c'est vraiment un problème."
Définir le PEBN, établir des mesures de qualité
La définition du PEBN est cohérente avec celle du cancer colorectal post-coloscopie établie par la World Endoscopy Organization : une lésion néoplasique détectée six mois après l'endoscopie index.
"Cela peut être dû à diverses raisons, y compris le fait d'être manqué", a déclaré le Dr Sharma.
Dans une méta-analyse qui a examiné le taux de PEBN après une première endoscopie négative (définissant une lésion détectée au premier examen ou dans les six mois comme une néoplasie de Barrett prévalente, une lésion détectée entre sept mois et trois ans après l'endoscopie index comme une PEBN, et toute néoplasie découverte 36 mois ou plus après un premier examen négatif comme incident ou nouveau), les chercheurs ont découvert que la catégorie la plus importante est la néoplasie prévalente (Endoscopie3 janvier 2022 doi : 10.1055/a-1729-8066).
"Cela nous indique que la première endoscopie que vous faites chez les patients atteints d'EB est probablement votre endoscopie la plus critique - c'est là que vous allez détecter le plus de ces lésions néoplasiques", a déclaré le Dr Sharma, notant que le pourcentage de patients qui ont néoplasie sur leur endoscopie index a augmenté au cours des 30 dernières années.
Il a proposé deux mesures de qualité pour l'endoscopie chez les patients atteints d'EB. La première consiste à passer suffisamment de temps à rechercher des lésions. "Assurez-vous que vous ne vous sentez pas fier de votre 60-deuxième endoscopie haute, car l'endoscopie haute est tout aussi importante qu'une coloscopie." La deuxième mesure de qualité consiste à évaluer votre taux de détection de la dysplasie et du cancer de haut grade à l'endoscopie d'index pour vous assurer que vous respectez les niveaux qui reflètent un examen de haute qualité. Selon une méta-analyse de la prévalence combinée de la dysplasie de haut grade (HGD) et de l'adénocarcinome de l'œsophage (EAC) lors de l'endoscopie d'index, ce taux de détection est d'environ 7 %, allant de 4 % à 10 % (Intestin 2019;68[12]:2122-2128).
"Ainsi, au moins au niveau de l'institution, vous pouvez l'utiliser pour voir si vous diagnostiquez suffisamment de dysplasie et de cancer de haut grade sur votre endoscopie d'index", a déclaré le Dr Sharma.
Améliorer la reconnaissance de la néoplasie de Barrett
Une endoscopie de haute qualité implique une inspection minutieuse, un échantillonnage adéquat et une reconnaissance appropriée, a déclaré le Dr Sharma.
Combien de temps faut-il consacrer à l'examen endoscopique ? Environ une minute par centimètre d'œsophage de Barrett (BE), selon une étude récente (Gastro-intest Endoc2012;76[3]:P531-P538). "Cette étude élégante a montré que plus vous passez de temps à examiner le segment de Barrett, plus vous êtes susceptible de trouver HGD et EAC", a déclaré le Dr Sharma.
"Il est important de vous entraîner vous et vos yeux", a-t-il ajouté. "Reconnaître les lésions est la clé pour améliorer votre taux de détection des néoplasies."
Après l'inspection, suivez le protocole de Seattle pour un échantillonnage adéquat. "Ce qui nous manque toujours dans le protocole de Seattle, c'est qu'il inclut d'abord les biopsies cibles, puis les biopsies aléatoires. Les biopsies cibles sont essentielles. la lésion cible », a déclaré le Dr Sharma.
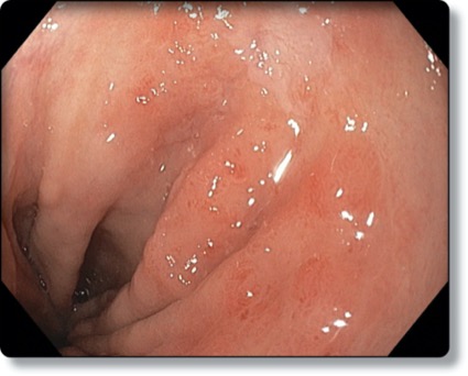
La reconnaissance appropriée de la néoplasie est également essentielle, mais cela peut être délicat (Figure). L'imagerie à bande étroite par chromoendoscopie virtuelle, l'imagerie par lumière bleue et l'i-SCAN amélioré par l'image (Pentax Medical) peuvent être des outils utiles, mais un endoscopiste doit savoir ce qu'il recherche, ce qui peut nécessiter une formation supplémentaire.
Acquérir des compétences, dédier des experts
"Je pense qu'en général, l'acquisition de compétences en endoscopie pour le praticien occupé est quelque peu difficile. Heureusement, les organisations ont essayé un certain nombre de choses pour aider les endoscopistes à acquérir des compétences à mesure que le domaine progressait", a déclaré le Dr Shaheen..
Par exemple, l'ASGE a ses programmes de compétences, de formation et de réévaluation, des cours en direct avec une formation pratique dans leur établissement de Downers Grove, Illinois. "Il y a un test à la fin de chaque cours. Si vous le réussissez, vous obtenez un certificat qui montre que vous avez reçu une formation avancée dans ce domaine », a déclaré le Dr Shaheen.
Spécifique à BE, il y a le programme du Groupe de travail international pour la classification de l'œsophagite BORN (néoplasie liée à BE), un outil d'enseignement en ligne pour la reconnaissance endoscopique des lésions. En 2019, Bergman et al ont publié des recherches montrant que la formation a considérablement amélioré la "détection et la délimitation des lésions néoplasiques" des endoscopistes généraux (Gastro-entérologie2019;156[5]:1299-1308).
Dans un essai contrôlé randomisé, le Dr Sharma et ses co-chercheurs ont également démontré une meilleure conformité au protocole de biopsie de Seattle et une « connaissance de la détection et de l'évaluation de l'EB » chez les endoscopistes qui ont subi une intervention éducative par rapport à ceux qui n'ont pas reçu cette formation (Gastro-intestin Endosc2022;95[2]:239-245).
Le Dr Shaheen a reconnu que bien que des milliers de gastro-entérologues assistent chaque année à des événements de formation médicale continue pour améliorer leurs compétences dans des cours pratiques, une formation spécialisée n'est pas obligatoire et ces ressources ne sont pas accessibles à tous. "Il n'y a qu'un certain nombre d'heures dans une journée et il y a tellement de choses dans lesquelles vous pouvez devenir expert", a déclaré le Dr Shaheen. "Mais je pense que nous avons une opportunité, à mesure que les groupes GI deviennent plus grands, même dans les cabinets privés, d'identifier un ou deux endoscopistes qui peuvent se consacrer à maintenir une haute compétence dans la détection de la néoplasie de Barrett, tout comme nous avons des experts en CPRE et EUS."
Pour les versions des images incluses montrant les emplacements des lésions BE, voir "Avez-vous détecté la néoplasie de Barrett ?" de notre numéro de septembre.
—Monica J.Smith
Le Dr Sharma a fait état de relations financières avec Bausch, Boston Scientific, CDx, Cosmo, Docbot, Erbe USA, Fujifilm, Ironwood, Lumendi, Medtronic, Olympus et US Endoscopy. Il est membre du comité de rédaction de Gastroenterology & Endoscopy News. Le Dr Shaheen a signalé des relations financières avec Aqua Medical, CDx, Cernostics, Cook, Exact Sciences, Interpace, Lucid, Medtronic, Pentax, Phathom et Steris.


